Figure 2. Gauche. Compression d'une racine nerveuse à l'étage C3-C4 : rétrécissement foraminal par un ostéophyte développé au dépend de l'uncus. Compression de la moelle épinière en C4-C5 par une hernie discale molle. Droite. Schéma postopératoire après discectomie, foraminotomie et mise en place d'une cage cervicale d'arthrodèse en C3-C4 et C4-C5.
Cliquer pour agrandir.
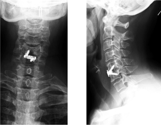
Figure 3. Clichés postopératoires après discectomie et mise en place d'une cage cervicale d'arthrodèse.
Cliquer pour agrandir.
Une fois le disque retiré, on positionne entre les 2 corps vertébraux une cage remplie d'os ou d'un substitut osseux. Une cage est un dispositif médical implantable en plastique qui permet de maintenir l'espace entre les 2 corps vertébraux ; elle peut être fixée à l'os par des vis ou des agrafes. Elle maintient les vertèbres en attendant que la fusion soit acquise (3 à 6 mois en moyenne) (Figures 2 et 3).
Figure 1. Réalisation d'une discectomie cervicale sous microscope.
Cliquer pour agrandir.
Anatomie du rachis cervical
Cette intervention est effectuée par voie antérieure, c'est-à-dire au travers d'une cicatrice située à l'avant du cou. Elle consiste à retirer l'ensemble du disque intervertébral et les éléments comprimant les racines nerveuses et/ou la moelle épinière (hernies discales et ostéophytes). Les tunnels où passent les racines nerveuses sont élargis : on parle de foraminotomie. Le geste de décompression est effectué sous microscope de façon à améliorer la qualité de la décompression et à diminuer les risques de lésion de la moelle épinière (Figure 1).
Discectomie / fusion antérieure (ACDF)
NOTRE ÉQUIPE 
TRANSFERT
RAAC 
PRENDRE RENDEZ-VOUS
en ligne
RECHERCHE 
AMBULATOIRE 
ENSEIGNEMENT 
SPÉCIALITÉS 
LE SERVICE 
ORTHOPÉDIE
TRAUMATOLOGIE
CHIRURGIE DU RACHIS
© 2016 : Service de chirurgie orthopédique et traumatologique. Tous droits réservés. I Mentions légales
Chef de service : Pr. C.H. FLOUZAT-LACHANIETTE
Département Médico-Universitaire CARE (Pr. DESGRANGES)
51, Av. du Maréchal de Lattre de Tassigny - 94010 Créteil - France
Tél. : +33 (0)1 49 81 26 07
Fax : +33 (0)1 49 81 26 08
SERVICE DE CHIRURGIE ORTHOPÉDIQUE ET TRAUMATOLOGIQUE