les discectomies suivies de la mise en place d'une prothèse discale cervicale ou d'une fusion des vertèbres (= arthrodèse cervicale),
 
les corporectomies (résection de tout ou partie d'un ou plusieurs corps vertébraux) suivies d'une fusion des vertèbres (= arthrodèse cervicale),
 
une décompression postérieure étendue (laminectomie ou laminoplastie) associée à une fusion étendue  des vertèbres.
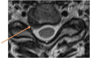
Figure 4. Déplacement anormal d'un disque intervertébral situé au niveau du cou et compression d’une racine nerveuse participant à l’innervation du bras.
Cliquer pour agrandir.Cliquer pour agrandir.
 
Le traitement est initialement symptomatique et comporte des antalgiques, des anti-inflammatoires ou des corticoïdes.
La chirurgie peut devenir nécessaire en cas d'échec du traitement médical. Plusieurs interventions peuvent vous être proposées : elles consistent toutes à décomprimer les racines nerveuses et la moelle épinière en réséquant les fragments d'os, de disque ou de ligaments qui les irritent.
 
On note 3 types principaux d'intervention :
Traitement
Bilan paraclinique
Des radiographies standard sont nécessaires pour évaluer la morphologie globale du rachis et la présence d'ostéophytes. Des clichés dynamiques de profil (en flexion et en extension) permettent d'éliminer une instabilité qui nécessiterait une fixation chirurgicale (Figure 3).
 
Une IRM permet d'évaluer le degré de dégénérescence discale, la présence d'une hernie discale (Figure 4) et l'inflammation des plateaux vertébraux. L'IRM permet d'évaluer l'état de la moelle épinière et notamment la présence d'un signal anormal en cas de myélopathie.
 
Un scanner est généralement demandé pour évaluer de quelle type de hernie il s'agit (molle ou dure).
 
Des explorations des nerfs (électromyogramme) ou de la moelle épinière (potentiels évoqués moteurs et somesthésiques) peuvent être nécessaires pour confirmer le diagnostic et évaluer la gravité.
Symptomatologie
L'arthrose cervicale est responsable de douleurs de la nuque (= cervicalgies) irradiant dans l'épaule et dans le bras. Le trajet peut être parfaitement identifiable ou plus diffus. On parle alors de névralgie cervico-brachiale. La douleur peut être remplacée par des engourdissements ("fourmis") dans le bras et/ou la main. La douleur est associée à une raideur de nuque, notamment dans les mouvements de rotation.
Des céphalées (= maux de tête) et des vertiges peuvent être liés à la compression d’une artère dans le cou par une excroissance osseuse liée à l’arthrose (= ostéophyte).
Si la compression est prolongée, un manque de force peut être constaté.
Si il existe une compression de la moelle épinière, des signes de myélopathie peuvent être constatés : atteinte des membres supérieurs et/ou inférieurs, signes urinaires.
Figure 3. Des clichés dynamiques de profil (en flexion et extension) permettent d'éliminer une instabilité qui nécessiterait une fixation chirurgicale.
Définition
Figure 2. Hernie discale molle (surlignée en rouge), à gauche, et hernie discale dure, à droite.
Cliquer pour agrandir.
les hernies molles (fragment de nucleus pulposus)
les hernies dures (ostéophytes et hernies molles calcifiées)
On distingue donc 2 types de hernies discales cervicales (Figure 2) :
Figure 1. Hernie discale comprimant une racine nerveuse (gauche) ou la moelle épinière (droite).
Anatomie du rachis cervical
Cliquer pour agrandir.
cervicalgies (mal au cou)
douleur dans le bras ou l'avant-bras (brachialgie)
signes de myélopathie (secondaire à la compression de la moelle épinière)
La compression peut être responsable de :
Hernie discale cervicale
L'arthrose cervicale (= spondylose) est une pathologie fréquente qui touche les hommes et les femmes de plus de 50 ans. Comme en lombaire, la hernie discale cervicale est l'une des manifestations du vieillissement prématuré du disque intervertébral (discopathie dégénérative). Elle se traduit par une saillie de la partie gélatineuse centrale du disque intervertébral, le nucleus pulposus. L'arthrose est également responsable de la formation d'excroissances osseuses (= ostéophytes).
 
La hernie et/ou les ostéophytes rétrécissent les tunnels où passent les structures nerveuses (racines nerveuses et/ou moelle épinière) (Figure 1).
NOTRE ÉQUIPE 
TRANSFERT
RAAC 
PRENDRE RENDEZ-VOUS
en ligne
RECHERCHE 
AMBULATOIRE 
ENSEIGNEMENT 
SPÉCIALITÉS 
LE SERVICE 
ORTHOPÉDIE
TRAUMATOLOGIE
CHIRURGIE DU RACHIS
© 2016 : Service de chirurgie orthopédique et traumatologique. Tous droits réservés. I Mentions légales
Chef de service : Pr. C.H. FLOUZAT-LACHANIETTE
Département Médico-Universitaire CARE (Pr. DESGRANGES)
51, Av. du Maréchal de Lattre de Tassigny - 94010 Créteil - France
Tél. : +33 (0)1 49 81 26 07
Fax : +33 (0)1 49 81 26 08
SERVICE DE CHIRURGIE ORTHOPÉDIQUE ET TRAUMATOLOGIQUE